여러분, 평소에 목에 무언가 걸린 듯한 이물감 자주 느끼시나요?
혹시 '갑상선암 초기증상'일 수도 있다는 생각, 해보신 적 있으세요?
이런 증상들은 바쁜 일상 속에서 대수롭지 않게 넘기기 쉽지만,
우리 몸이 보내는 정말 중요한 신호일 수 있답니다.
오늘은 저와 함께 갑상선암 초기증상 3가지를 꼼꼼히 알아보고,
어떻게 대처해야 할지 자세히 파헤쳐 볼게요!

- 목 이물감으로 불편함을 느끼는 분
- 갑상선 건강에 관심 많은 일반인
- 조기 진단 방법을 찾고 싶은 분
혹시 나도? 갑상선암 초기증상 3가지 꼭 확인해요!
갑상선암은 초기에는 특별한 증상이 없어서
알아차리기가 쉽지 않아요.
하지만 우리 몸은 늘 우리에게 신호를 보내죠!
평소와 다른 증상들이 지속된다면
꼭 한번쯤 의심해볼 필요가 있답니다.
1. 지속되는 목 이물감 또는 압박감
혹시 밥을 삼킬 때나 침을 삼킬 때
목에 뭐가 걸린 것 같은 느낌을 자주 받으시나요?
이런 목 이물감은
갑상선암의 초기 증상 중 하나일 수 있어요.
단순히 목감기 때문이라고 생각하고 넘기기 쉽지만,
이물감이 한 달 이상 지속된다면
병원에 가서 확인해보는 게 좋아요.



마치 목 안에 작은 돌멩이가 있는 듯한 답답함이
점점 심해지는 느낌이 들 수도 있고요.
2. 목소리 변화 (쉰 목소리, 고음 불가)
평소와 다르게 목소리가 쉬거나
고음을 내기가 어려워지는 경험을 하신 적 있으세요?
갑상선 결절이 성대를 지나는 신경을 압박하면
이런 목소리 변화가 나타날 수 있어요.
노래를 부를 때 음역대가 줄어들거나,
전화 통화할 때 상대방이 '목소리가 왜 그러냐'고
묻는다면 한번 의심해봐야겠죠?
감기처럼 일시적인 증상이 아니라
꽤 오랜 기간 지속되는 것이 특징이에요.
3. 목 앞부분의 멍울 또는 혹
세 번째는 목 앞부분에 만져지는 멍울이에요.
샤워를 하다가, 또는 거울을 보다가
목 앞쪽에 뭔가 볼록 튀어나온 것을 발견할 수 있죠.
이 멍울은 통증이 없는 경우가 많아서
그냥 지나치는 분들이 많더라고요.
하지만 이 멍울의 크기가 점점 커지거나
단단하게 느껴진다면 꼭 병원을 방문해야 해요.
초음파 검사로 간단하게 확인할 수 있으니,
절대 망설이지 마세요!



자가진단 후엔 어떻게 해야 할까요? 정확한 진단 과정
앞서 말씀드린 증상들을 확인해보니
혹시 나도 해당되는 것 같다는 생각이 드셨나요?
그렇다면 너무 걱정부터 하지 마시고,
가장 먼저 가까운 병원을 찾아 전문의와 상담하는 것이 중요해요.
혼자서 속단하기보다는
정확한 진단을 받는 게 제일 좋으니까요.
병원에 가면 의사 선생님께서 먼저
목 부위를 촉진하고 기본적인 문진을 진행하실 거예요.
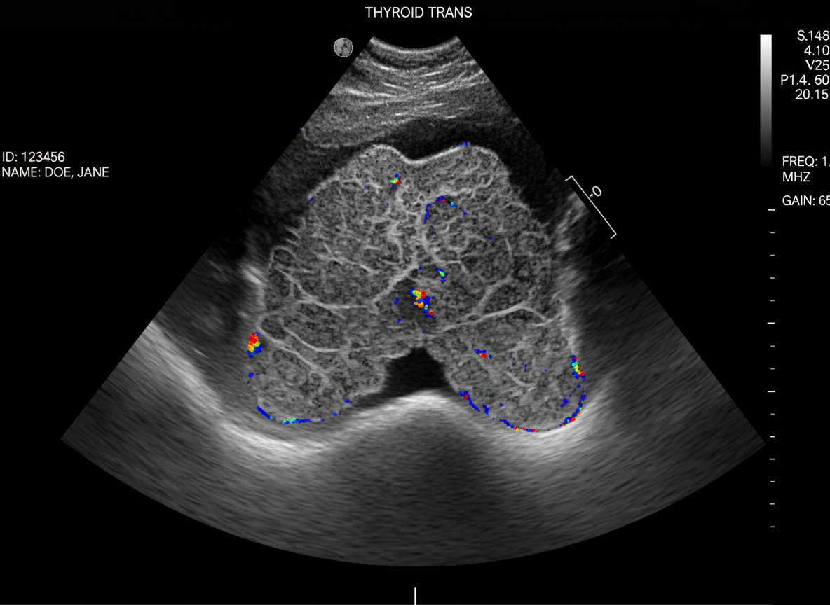
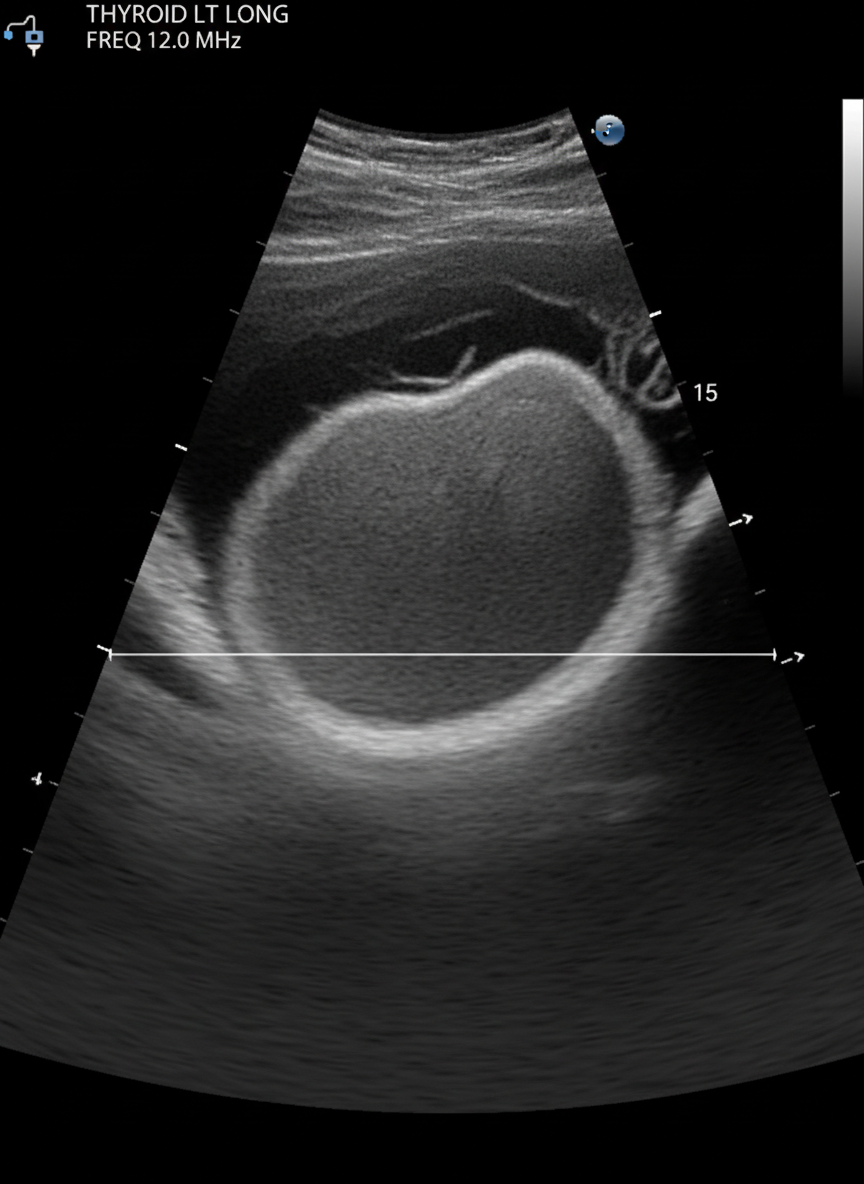
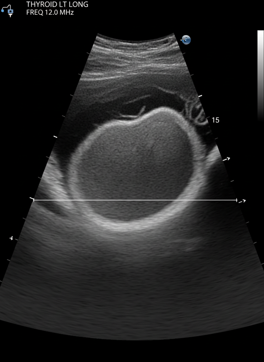
그 다음으로는 갑상선 초음파 검사를 하게 되는데,
이 초음파 검사를 통해
갑상선 결절의 유무와 크기, 모양 등을 확인할 수 있답니다.
초음파는 통증도 없고 아주 간단한 검사라서
부담 없이 받으실 수 있을 거예요.
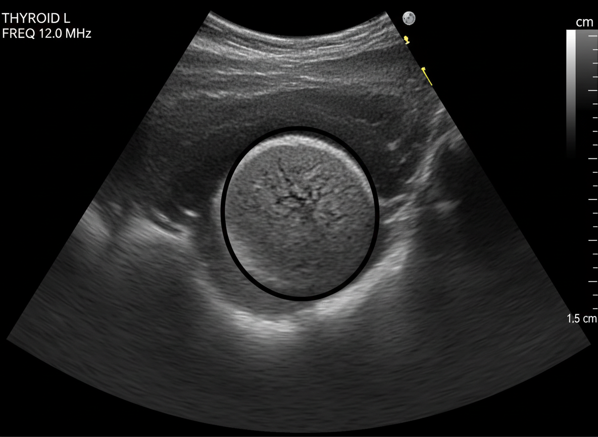
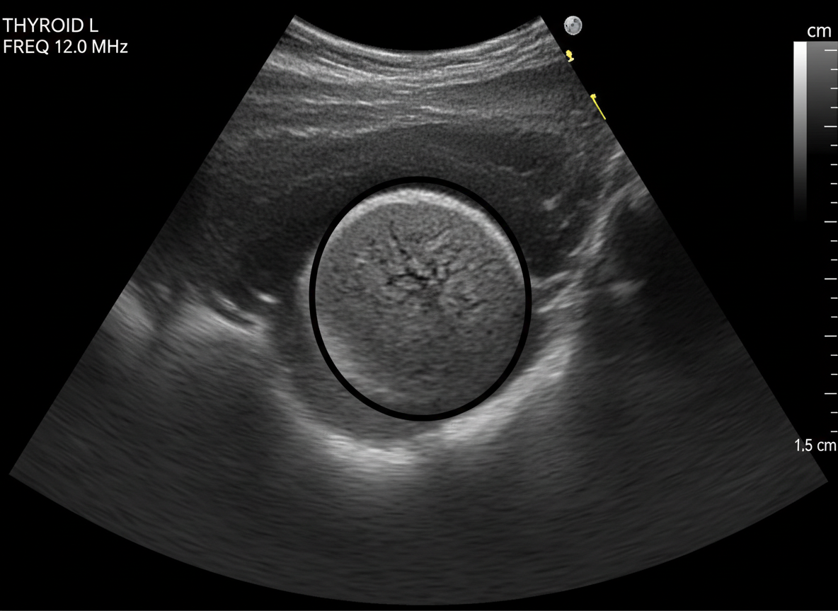
만약 초음파 검사에서
의심스러운 결절이 발견된다면,
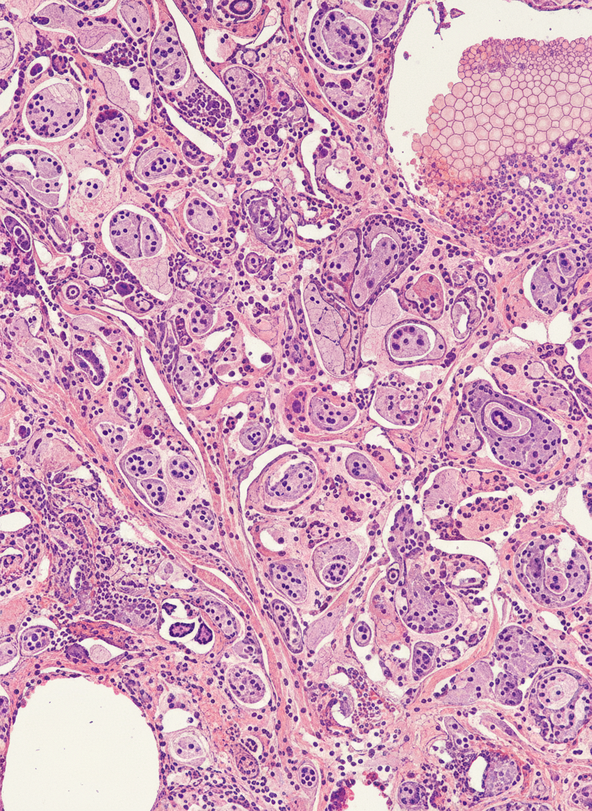
미세침 흡인 세포 검사(조직 검사)를 진행하게 돼요.
가는 바늘로 결절의 세포를 소량 채취해서
현미경으로 확인하는 검사인데,
이 검사를 통해 갑상선암 확진 여부를 판단하게 된답니다.
조금 무섭게 느껴질 수도 있지만,
생각보다 통증은 적고 안전한 검사라고 하니
너무 걱정 마세요.
정확한 진단을 통해
빠르게 대처하는 것이 가장 중요해요!



갑상선 건강을 지키는 생활 습관과 예방 팁
갑상선암은 조기 발견이 중요하다고 하지만,
평소에 갑상선 건강을 잘 관리하는 것도 정말 중요하죠.
우리 일상생활 속에서
갑상선을 건강하게 지킬 수 있는 몇 가지 팁을 알려드릴게요.
첫째, 균형 잡힌 식단이 필수예요.
특히 해조류에 많이 들어있는 요오드는
갑상선 호르몬 생성에 꼭 필요한 영양소이지만,
너무 과하게 섭취하는 것은 오히려 좋지 않을 수 있으니
적당히 섭취하는 것이 중요하답니다.
신선한 채소와 과일을 충분히 섭취하고,
가공식품은 되도록 피하는 게 좋겠죠?
둘째, 스트레스 관리도 빼놓을 수 없어요.
현대인이라면 누구나 스트레스를 받지만,
과도한 스트레스는 우리 몸의 호르몬 균형에
악영향을 줄 수 있답니다.
취미 생활이나 운동, 명상 등으로
나만의 스트레스 해소법을 찾는 게 중요해요.
셋째, 정기적인 건강 검진을 꼭 받으세요.
특히 가족력이 있거나 위험 요인이 있다면
주기적인 갑상선 초음파 검사를 통해
이상 여부를 확인하는 것이 좋답니다.
저도 매년 건강검진 때 갑상선 항목을 꼭 확인하고 있어요.
마지막으로, 불필요한 방사선 노출은 피하는 것이 좋아요.
특히 어린 시절 머리나 목 부위에
방사선 치료를 받은 경험이 있다면
더욱 주의해야 한다고 해요.
갑상선 건강은 작은 습관에서부터 시작된다는 것을 기억해주세요!



갑상선암에 대한 궁금증, 자주 묻는 질문(FAQ)
갑상선암은 왜 생기나요?
갑상선암의 정확한 원인은 아직 명확하게 밝혀지지 않았어요.
하지만 유전적인 요인, 방사선 노출, 갑상선 질환의 병력 등이 위험 요인으로 알려져 있답니다.
특히 어린 시절 목 부위에 방사선을 쬐는 치료를 받은 경우 위험이 높아진다고 해요.
평소 생활 습관도 무시할 수 없겠죠?
갑상선암 수술 후 관리는 어떻게 해야 하나요?
갑상선암 수술 후에는 갑상선 호르몬제를 꾸준히 복용하는 것이 일반적이에요.
이는 재발을 막고 부족한 갑상선 호르몬을 보충하기 위함인데요.
정기적으로 병원을 방문해서 혈액 검사를 통해 호르몬 수치를 확인하고, 담당 의사 선생님의 지시에 따라 약물 용량을 조절하는 것이 정말 중요해요.
균형 잡힌 식사와 스트레스 관리도 여전히 필요하답니다.
갑상선암 진단 시 너무 늦은 건 아닐까요?
아니요, 절대 그렇지 않아요! 갑상선암은 다른 암에 비해 진행 속도가 느린 편이고, 예후가 좋은 '착한 암'으로 불리기도 해요.
물론 조기 발견이 가장 좋지만, 조금 늦게 발견되었더라도 현대 의학의 발전 덕분에 좋은 치료 결과를 기대할 수 있는 경우가 많답니다.
너무 절망하지 마시고, 긍정적인 마음으로 치료에 임하는 것이 중요해요.



함께 읽으면 좋은 글
경기컬쳐패스, 이번 달 놓치면 6만원 못 받아요!
혹시 경기컬쳐패스에 대해 들어보셨나요?우리 지역 주민들을 위한 정말 쏠쏠한 혜택인데,모르고 지나치면 너무 아쉽죠?특히 이번 달 신청을 놓치면무려 6만원을 받지 못할 수도 있다고 해요.문
info2.goodjob-100.com
건강에 좋다고 막 먹다간 큰일! 올리브오일 섭취 시 절대 피해야 할 3가지
건강에 좋다고 알려진 올리브오일,정말 아무렇게나 먹어도 괜찮을까요?많은 분들이 웰빙 식단의 필수품으로올리브오일을 선택하고 있어요.실제로 심혈관 건강 개선부터항염증 효과, 항산화 작
info2.goodjob-100.com
의사들이 입 모아 추천! 식후혈당 잡는 생활 습관 4가지
혹시 식사 후에 왠지 모르게 몸이 무겁고 피곤하다는 느낌을 자주 받으시나요?이것이 바로 식후혈당 스파이크의 신호일 수 있다는 사실, 알고 계셨나요?많은 분들이 식후혈당 관리에 대한 중요
info2.goodjob-100.com