여러분, 갑상선암 초기증상 하면 어떤 게 떠오르세요? 혹시 잦은 기침이나 가래를 먼저 생각하고 계신가요?
저도 처음엔 감기처럼 흔한 증상을 의심하곤 했었죠.
하지만 진짜 갑상선암의 위험 신호는 우리가 생각하는 것과 조금 다르답니다.
오늘은 우리 몸에 찾아오는 의외의 진짜 위험 신호 3가지에 대해
자세히 알아보는 시간을 가져볼 거예요.
지금부터 갑상선암 초기증상의
숨겨진 진실을 함께 파헤쳐 볼까요?

- 목에 불편함을 느끼며 건강을 걱정하는 분
- 갑상선 건강에 대한 정확한 정보가 필요한 분
- 갑상선암 조기 진단 방법을 궁금해하는 분
이것만은 꼭! 갑상선암 의심해야 할 진짜 위험 신호 3가지
갑상선암은 초기에는 자각 증상이 거의 없지만, 암이 조금씩 진행되면
우리 몸이 보내는 신호들이 분명히 있어요.
이 세 가지 신호는 정말
주의 깊게 살펴봐야 할 중요한 포인트들이니, 우리 함께 꼼꼼히 확인해봐요.
1. 목 앞쪽에 만져지는 멍울 또는 결절
가장 흔하고 중요한 갑상선암의 신호 중 하나가 바로 목 앞부분에
만져지는 멍울이나 결절이에요.
이 멍울은 통증이 없는 경우가 대부분이라서
대수롭지 않게 여기기 쉽죠.
만졌을 때 딱딱하고 불규칙하게 느껴지거나, 시간이 지날수록 점점 커지는 듯하다면
반드시 병원을 찾아 전문가의 진찰을 받아보는 것이 좋아요.
저도 가끔 목을 만져보곤 하는데, 이런 작은 변화라도 놓치지 않는 게 중요하더라고요.
2. 설명할 수 없는 쉰 목소리 또는 목소리 변화
평소와 다르게 목소리가 쉬거나 변하는 것도 갑상선암의
의심 신호일 수 있어요.
특히 감기 같은 특별한 이유 없이
오랫동안 쉰 목소리가 지속된다면 주의해야 한답니다.
갑상선암이 커지면서 성대를 움직이는 신경을 압박할 때
이런 증상이 나타날 수 있거든요.
주변에서 ‘목소리가 왜 그러냐’는
이야기를 듣는다면 한 번쯤 의심해볼 필요가 있는 거죠.
3. 음식물을 삼키기 어렵거나 목에 이물감
음식을 먹을 때 목에 뭔가 걸린 듯한 느낌이 들거나
삼키기 어려운 증상(연하곤란)이 있다면 이 또한 갑상선암을 의심해볼 수 있어요.
갑상선에 생긴 종양이 식도나 기도 등 주변 장기를 누르면서
생기는 증상이거든요.
저도 예전에 목에 계속 이물감이 느껴져서 병원에 가본 적이 있는데,
다행히 별다른 문제는 아니었지만 이런 증상들이 지속된다면
꼭 확인해봐야 한다고 의사 선생님이 말씀하시더라고요.



조기 발견이 중요해요: 갑상선암, 왜 빠르게 대처해야 할까요?
여러분, 갑상선암은 ‘착한 암’이라고 불릴 정도로 예후가 좋은 편이잖아요.
하지만 그렇다고 해서 방심하고 치료를 미루면 안 된답니다.
조기 발견은 갑상선암 치료에 있어서 정말 중요한 열쇠라고 할 수 있어요.
일단 암을 초기에 발견하면, 수술 범위가 훨씬 작아질 수 있어요.
덕분에 우리 몸에 주는 부담도 줄어들고, 회복도 더 빠르겠죠.
뿐만 아니라, 완치율도 훨씬 높아진다는 사실!
암이 작을 때 발견해서 간단한 치료만으로도 건강을 되찾을 수 있다면
정말 다행스러운 일이 아닐 수 없죠.
만약 암이 많이 진행된 상태에서 발견된다면 어떻게 될까요?
주변 장기로 전이될 가능성도 커지고, 치료 과정도 복잡해질 수 있어요.
제 주변에도 건강검진에서 우연히 작은 혹을 발견해서
바로 조치를 취해 건강하게 생활하고 있는 분이 계시거든요.
이처럼 작은 관심과 빠른 대처가 우리 삶의 질을
크게 좌우할 수 있다는 걸 꼭 기억해 주시면 좋겠어요.



갑상선암 진단과 치료: 두려워 말고 전문가와 상담해요
'암'이라는 단어만 들어도 덜컥 겁이 나고 두려운 마음이 드는 건 당연해요.
하지만 갑상선암은 현대 의학으로 충분히 치료 가능하고,
예후도 좋은 암 중 하나이니 너무 걱정하지 마세요.
가장 중요한 건 전문가와 함께 정확한 진단과 올바른 치료 계획을 세우는 것이랍니다.
갑상선암 진단 과정은 어떻게 되나요?
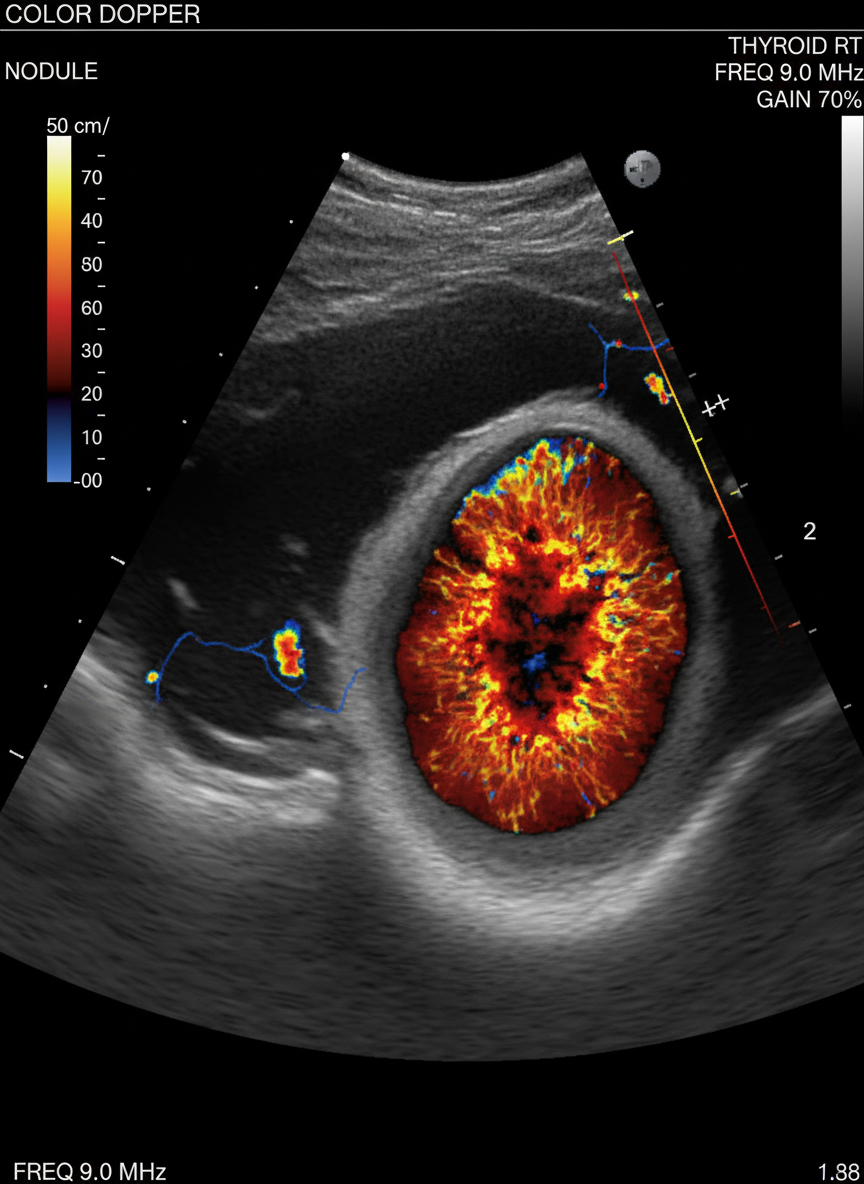
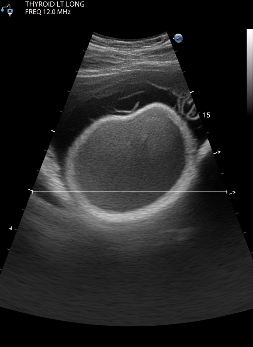
병원에 방문하면 보통 먼저 갑상선 초음파 검사를 하게 돼요.
이 검사는 통증 없이 빠르고 정확하게 갑상선의 상태와
결절의 유무, 크기, 모양 등을 확인할 수 있는 아주 유용한 방법이죠.
만약 초음파에서 의심스러운 부분이 발견되면, 세침흡인검사를 통해
조직을 채취해서 암 여부를 최종적으로 진단하게 된답니다.
이 검사 역시 생각보다 아프지 않고 빠르게 진행되니 너무 걱정 마세요.



갑상선암 진단 방법 요약
| 진단 방법 | 주요 내용 |
| 갑상선 초음파 | 통증 없이 결절 유무, 크기, 모양 확인 |
| 세침흡인검사 | 초음파로 의심되는 부위 조직 채취, 암세포 유무 확인 |
갑상선암 치료는 어떻게 진행되나요?
갑상선암의 주된 치료법은 수술이에요.
암의 크기나 전이 여부에 따라
갑상선 전체를 제거하거나 일부만 절제하기도 한답니다.
수술 후에는 필요에 따라 방사성 요오드 치료를 통해
남아있을 수 있는 암세포를 제거하고 재발을 막는 치료를 병행하기도 해요.
정말 다행히도 갑상선암은 치료 효과가 매우 좋은 편이라고 하니,
두려워 말고 전문 의료진과 충분히 상담하고
자신에게 맞는 최적의 치료 계획을 세우는 것이 중요하죠.



자주 묻는 질문 (FAQ)
여러분들이 갑상선암에 대해 궁금해하실 만한 질문들을 모아봤어요.
정확한 정보를 통해 막연한 불안감을 해소하고
우리 몸을 더 잘 이해하는 데 도움이 되었으면 좋겠네요.
Q1: 갑상선암은 유전되나요?
일부 갑상선암(특히 수질암)은 유전적인 요인이 강하게 작용하기도 하지만,
대부분의 갑상선암(유두암, 여포암)은 유전과는 크게 관련이 없다고 알려져 있어요.
가족력이 있다면 정기적인 검진을 통해 더 세심하게 건강을 관리하는 것이 좋겠죠.
Q2: 갑상선암을 예방할 수 있는 특별한 방법이 있나요?
아쉽게도 갑상선암을 100% 예방할 수 있는 특별한 방법은 없다고 해요.
하지만 건강한 식단, 규칙적인 운동, 충분한 휴식 등
일반적인 건강 관리 습관을 유지하는 것이 중요하답니다.
또한 방사선 노출을 최소화하고, 정기적인 건강검진을 통해
조기에 발견하는 것이 무엇보다 중요하다고 할 수 있어요.
Q3: 갑상선암 수술 후 관리는 어떻게 해야 하나요?
갑상선암 수술 후에는 정기적인 추적 검사를 통해 재발 여부를
확인하는 것이 필수적이에요.
갑상선 호르몬이 부족해질 수 있으므로
대부분 갑상선 호르몬제를 평생 복용해야 한답니다.
규칙적인 복용은 물론, 균형 잡힌 식사와 적절한 운동을 병행하며
건강한 생활 습관을 유지하는 것이 중요하다고 해요.



함께 읽으면 좋은 글
다이소에서 출산가방 준비 끝! 선배맘들이 극찬한 가성비 꿀템 완벽 리스트!
곧 다가올 아기와의 만남에 설레면서도, 출산가방 준비에 대한 막막함에 한숨 쉬고 계신가요? 많은 예비맘들이 출산준비물 목록과 치솟는 가격에 놀라곤 합니다.하지만 걱정 마세요.선배맘들이
info2.goodjob-100.com
일반 연금보다 낫다고? 톤틴연금 수익률의 반전
은퇴 후 넉넉한 삶, 꿈꾸지만 톤틴연금이란 이름은 낯설게 느껴지시나요?혹시 일반 연금보다 높은 수익률을 기대할 수 있다는 소문,들어보셨나요? 불안정한 노후 준비,어떻게 해야 할지 막막하
info2.goodjob-100.com
B형 독감 격리기간, 의무인가요? 회사·어린이집 복귀 총정리
혹시 B형 독감 격리기간에 대해정확히 알고 계신가요?독감에 걸리면 언제까지 집에서 쉬어야 하는지,그리고 언제쯤 다시 회사나 어린이집에 복귀할 수 있을지많은 분들이 궁금해하시는데요.특
info2.goodjob-100.com