혹시 여러분 목에 갑상선암 초기증상은 아닐까 걱정해 본 적 있으신가요?
갑상선암은 '착한 암'이라고 불리기도 하지만,
초기에 발견하지 못하면 위험할 수도 있다고 해요.
저도 가끔 목이 불편할 때마다 혹시 하는 마음에 걱정되더라고요.
오늘은 우리 몸의 중요한 내분비 기관인 갑상선에 생기는 암의
초기 증상 5가지를 함께 자세히 알아보며 궁금증을 해결해 봐요!

- 목에 불편함을 느끼는 분들
- 갑상선 건강이 걱정되는 모든 분들
- 건강 관리에 관심 많은 분들
목에 만져지는 혹, 단순한 멍울이 아닐 수도 있어요!
많은 분들이 목에 뭔가 만져지면 '그냥 림프선이 부었나?'
'혹은 피곤해서 그런가?' 하고 대수롭지 않게 넘기는 경우가 많더라고요.
저도 예전에 그랬던 경험이 있어요.
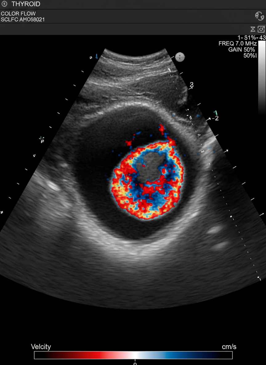
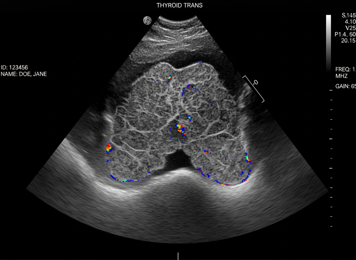
하지만 목에 만져지는 혹은 갑상선암 초기증상 중 가장 흔하게 나타나는 증상 중 하나예요.
갑상선에 생기는 결절이 바로 그것인데요.
모든 결절이 암은 아니지만, 혹시 모를 상황에 대비해서 꼭 확인해봐야 한답니다.



어떤 혹이 의심스러울까요?
주로 목 앞쪽에 뭔가 딱딱하고 단단한 것이 만져진다면 한번쯤 의심해볼 수 있어요.
특히 이 혹이 시간이 갈수록 점점 커지거나
주변 조직에 단단하게 고정되어 잘 움직이지 않는다면 주의가 필요해요.
여러분도 오늘 샤워하시면서 목 앞부분을 만져보시는 건 어떠세요?
거울을 보면서 목을 뒤로 젖히고 침을 삼킬 때, 목에 혹이 움직이는지 확인해볼 수도 있어요.
만약 뭔가 이상하다고 느껴진다면, 망설이지 말고 병원에 가보는 게 좋겠죠?



목소리 변화와 삼킴 곤란, 그냥 넘기지 마세요!
갑상선암 초기 증상 중에는 목소리가 변하거나 음식을 삼키기 어려운 증상도 있어요.
많은 분들이 이런 증상을 단순한 감기나 피로로 착각하기 쉽죠.
저도 목이 쉬면 '아, 좀 피곤한가 보다' 하고 넘기곤 했었거든요.
하지만 갑상선은 성대와 식도 바로 옆에 위치하고 있어요.
만약 갑상선에 종양이 생겨 크기가 커지면,
주변 신경이나 식도를 압박할 수 있답니다.
그렇게 되면 목소리가 이유 없이 쉰 목소리로 변하거나,
음식을 먹을 때 목에 뭔가 걸린 듯한 느낌, 혹은 삼키기가 어려워지는 삼킴 곤란 증상이 나타날 수 있어요.
특히 이런 증상들이 감기 같은 다른 이유 없이 몇 주 이상 지속된다면
더욱 세심한 주의가 필요해요.
평소와 다르게 목소리가 계속 변하고 있거나,
좋아하던 음식도 잘 넘어가지 않아 불편함을 느낀다면,
꼭 병원을 방문해서 진료를 받아보시는 것이 좋답니다.
내 몸이 보내는 작은 신호들을 무시하지 마세요!



이런 증상 있다면? 꼭 병원에 가봐야 할 때
지금까지 말씀드린 여러 증상들이 사실 단독으로 나타나기보다는
여러 개가 함께 나타날 때가 많더라고요.
앞서 언급된 증상들, 즉 목에 혹이 만져지거나, 목소리가 변하고, 삼키기 어려운 증상 외에도
몇 가지 더 유심히 지켜봐야 할 신호들이 있어요.
예를 들어, 목의 통증이 목뿐만 아니라 귀까지 퍼지는 듯한 느낌이 들거나,
목 앞쪽의 림프절이 커져서 만져지는 경우도 있답니다.
또, 호흡 곤란이나 지속적인 기침 같은 증상도 무시해서는 안 돼요.
이런 증상들이 복합적으로 나타나고 있다면
더 이상 미루지 말고 즉시 병원을 방문해서 전문가와 상담해야 해요.
빠른 진단은 조기 치료로 이어지고, 이는 더 나은 예후를 기대할 수 있는 중요한 과정이니까요.
초음파 검사나 세침흡인 조직검사 같은 간단한 검사로도 충분히 확인할 수 있답니다.
우리 몸은 항상 우리에게 신호를 보내고 있다는 점을 잊지 마시고,
건강한 생활을 위해 꾸준히 관심을 가져주세요!



자주 묻는 질문(FAQ): 갑상선암 초기증상, 궁금증 해결!
Q1. 갑상선암, 예방할 수 있나요?
갑상선암은 특정 발암 물질과의 연관성이 명확하지 않아 완벽한 예방은 어렵지만,
건강한 생활 습관을 유지하는 것이 중요해요.
특히, 방사선 노출을 피하고 규칙적인 건강 검진을 통해
조기에 발견하는 것이 가장 좋은 예방법이라고 할 수 있어요.
Q2. 갑상선암 진단은 어떻게 하나요?
갑상선암은 주로 갑상선 초음파 검사를 통해 결절을 확인하고,
의심스러운 결절이 발견되면 세침흡인 조직검사를 통해 암세포 유무를 확진해요.
혈액 검사로는 갑상선 기능 이상을 확인할 수 있지만,
암 자체를 진단하지는 않는답니다.
Q3. '착한 암'이라는데 꼭 치료해야 하나요?
갑상선암은 다른 암에 비해 진행이 느린 경우가 많아 '착한 암'으로 불리기도 하지만,
모든 갑상선암이 그런 것은 아니에요.
일부 갑상선암은 공격적인 성향을 보이기도 하고,
주변 조직으로 전이될 가능성도 있답니다.
따라서 진단 후에는 반드시 전문의와 상담하여
개인의 상태에 맞는 적절한 치료 계획을 세우는 것이 매우 중요해요.



함께 읽으면 좋은 글
두뇌 피로, 기억력 집중력 케어, 프리미엄 포스파티딜세린 건강기능식품
현대인이라면 누구나 한 번쯤잦은 야근과 스트레스로 인한두뇌 피로를 느껴보셨을 텐데요.점점 흐릿해지는 기억력과떨어지는 집중력 때문에일상생활에 불편함을 느끼고 계시지는 않으신가요?
info2.goodjob-100.com
30년 장수 스낵 매운맛으로 변신! ‘꽃게랑 마라맛’ 출시
오랫동안 사랑받아온 장수 스낵이 새로운 맛으로 변신한다는 소식에설레셨나요? 특히 강렬한 매운맛을 좋아하는 분들이라면더욱 귀가 솔깃할 텐데요.꽃게랑 마라맛은 단순한 신제품 출시를 넘
info2.goodjob-100.com
오늘의 금값 변동, '이 3가지' 모르고 투자하면 쪽박 차는 이유
혹시 오늘의 금값에 대해 궁금하신가요? 많은 분들이 안전자산으로 금을 고려하지만,막상 투자를 시작하려니 막막함을 느끼기도 해요.금은 단순히 가격만 보고 접근하기에는복잡한 경제적, 지
info2.goodjob-100.com